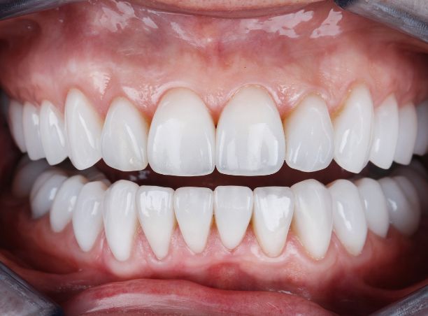
#Fațete ceramice și albire laser Er:YAG

Estetica dentară nu înseamnă un zâmbet artificial, ci un zâmbet care arată natural și se potrivește cu trăsăturile tale. La Atelierul de Zâmbete din Sector 3, București, fiecare tratament estetic este planificat digital, discutat interdisciplinar și adaptat în funcție de forma feței, culoarea naturală a dinților și așteptările tale. Lucrăm cu fațete ceramice și albire laser Er:YAG pentru rezultate vizibile, durabile și armonioase.
Fațete ceramice proiectate pe baza amprentelor digitale
Albire profesională cu laser Er:YAG, cu rezultate imediate
Planificare interdisciplinară pentru un rezultat armonios
Deviz estimativ transparent, fără costuri ascunse
#ce este

Estetica dentară este ramura stomatologiei care se ocupă cu îmbunătățirea aspectului zâmbetului: culoarea, forma, dimensiunea și alinierea dinților. Nu este vorba doar despre dinți mai albi, ci despre un zâmbet echilibrat, care se integrează natural în ansamblul trăsăturilor tale faciale.
Tratamentele estetice pot fi simple, cum este albirea profesională, sau mai complexe, cum sunt fațetele ceramice care modifică forma, culoarea și dimensiunea dinților vizibili. Indiferent de complexitate, un tratament estetic bine realizat pleacă de la o evaluare clinică completă și de la o planificare atentă, nu doar de la dorința pacientului de a avea dinți mai albi.
La Atelierul de Zâmbete, estetica dentară nu este tratată izolat. Înainte de orice tratament estetic, medicul verifică dacă există afecțiuni care trebuie rezolvate mai întâi: carii, boli parodontale, dinți care necesită tratament endodontic sau probleme de aliniere care ar beneficia de ortodonție. Abia după ce sănătatea orală este în ordine se poate construi un plan estetic cu rezultate stabile pe termen lung.
Această abordare interdisciplinară este ceea ce face diferența între un rezultat estetic care durează și unul care creează probleme după câteva luni. Fațetele aplicate pe dinți cu probleme parodontale netratate, de exemplu, riscă să se descimenteze sau să genereze complicații gingivale. Albirea realizată pe dinți cu carii active poate provoca sensibilitate severă și agrava situația existentă. Medicii noștri se consultă între ei pentru fiecare caz estetic, asigurându-se că fundația este solidă înainte de a construi rezultatul vizibil.

Tratamentele de estetică dentară sunt recomandate persoanelor care sunt nemulțumite de aspectul zâmbetului lor, chiar dacă dinții sunt sănătoși din punct de vedere funcțional. Decizia de a apela la estetică dentară este una personală, legată de încrederea în sine și de modul în care te simți când zâmbești.
Dinți decolorați sau pătați
Decolorările pot fi cauzate de alimente, băuturi (cafea, ceai, vin roșu), tutun, medicamente sau pur și simplu de trecerea timpului. Albirea profesională cu laser poate reda luminozitatea naturală a dinților într-o singură ședință. Pentru decolorări persistente care nu răspund la albire, fațetele ceramice oferă o soluție definitivă și uniformă.
Dinți cu formă neregulată sau ciobituri
Ciobituri mici, margini neregulate sau dinți cu forme asimetrice pot fi corectate cu fațete ceramice, care acoperă suprafața vizibilă a dintelui și îi redau un aspect uniform. Fațeta reproduce forma și dimensiunea dorită, integrându-se natural cu dinții adiacenți.
Spații între dinți (diasteme)
Spațiile vizibile între dinții, în special în zona frontală, pot fi închise cu fațete ceramice fără a fi necesar un tratament ortodontic. Aceasta este o soluție rapidă și estetică, potrivită pentru pacienții care doresc un rezultat vizibil într-un timp scurt. Totuși, în cazul în care diastema este cauzată de o problemă ocluzală, medicul poate recomanda mai întâi o evaluare ortodontică.
Zâmbet îngălbenit după ani de uzură
Cu vârsta, smalțul se subțiază și dentina, care are o culoare mai închisă, devine mai vizibilă. Dinții capătă un aspect gălbui sau cenușiu pe care periajul obișnuit nu îl poate corecta. Albirea profesională poate reda câteva nuanțe, iar fațetele ceramice pot oferi o transformare completă pentru pacienții care doresc un rezultat mai dramatic.
Dorința de a îmbunătăți zâmbetul fără intervenții majore
Multe persoane doresc o îmbunătățire vizibilă a zâmbetului fără să treacă prin tratamente invazive sau de lungă durată. Albirea laser este o procedură rapidă, de aproximativ o oră, cu rezultate imediate. Fațetele ceramice necesită 2-3 vizite la cabinet, dar nu presupun intervenții chirurgicale și au un disconfort minim. Ambele sunt opțiuni minim invazive comparativ cu coroanele sau cu reabilitările protetice complexe.

#tratamente

La Atelierul de Zâmbete oferim două categorii principale de tratamente estetice: fațete ceramice și albire dentară cu laser Er:YAG. Fiecare tratament este planificat individual, pe baza unei evaluări clinice complete și a amprentelor digitale.
Fațete ceramice
Fațetele dentare sunt piese ceramice subțiri, realizate la comandă în laborator, care se aplică pe suprafața frontală a dinților. Ele modifică forma, culoarea, dimensiunea și aspectul general al dinților vizibili, oferind un zâmbet armonios și natural. Spre deosebire de coroanele dentare, care acoperă întregul dinte, fațetele acoperă doar partea vizibilă și necesită o pregătire minimă a dintelui.
La Atelierul de Zâmbete, procesul de fațetare începe cu o consultatie în care medicul evaluează starea dinților și discută cu tine despre obiectivele estetice. Se realizează amprente digitale scanate (fără pastă de amprentare clasică) și se proiectează digital forma și volumul viitorilor dinți, astfel încât fațetele să se potrivească cu trăsăturile tale și să se încadreze natural în zâmbet.
Ceramica utilizată pentru fațete este un material translucid care imită fidel smalțul natural al dintelui, reflecând lumina în mod similar. Fațetele ceramice sunt rezistente la pătare, nu se decolorează în timp și, cu îngrijire adecvată, pot dura între 10 și 15 ani sau chiar mai mult. Sunt biocompatibile și bine tolerate de țesuturile gingivale. Îngrijirea fațetelor nu diferă semnificativ de îngrijirea dinților naturali: periaj de două ori pe zi, ață dentară zilnic și controale stomatologice regulate. La Atelierul de Zâmbete, programam controlul după fațetare și ședințele de mentenanță ulterioare încă de la finalizarea tratamentului.
Este important de știut că fațetele ceramice necesită, în majoritatea cazurilor, o șlefuire minimă a smalțului, ceea ce face procedura ireversibilă. Medicul îți va explica în detaliu ce presupune pregătirea dintelui și te va ajuta să înțelegi dacă fațetele sunt opțiunea potrivită pentru situația ta. Nu toată lumea este candidată pentru fațete: dinții cu carii extinse, cu plombe mari sau cu probleme parodontale active necesită mai întâi tratament și abia apoi se poate discuta despre estetică.
Albire dentară cu diodă
Albirea dentară cu laser este cea mai rapidă metodă profesională de a obține un zâmbet mai luminos. Procedura constă în aplicarea unui gel de albire profesional pe dinți, care este apoi activat cu laserul Er:YAG. Energia laser intensifică și accelerează reacția chimică care descompune pigmenții din smalț, oferind rezultate vizibile într-o singură ședință de aproximativ 45-60 de minute.
Medicul controlează intensitatea și durata expunerii pentru fiecare zonă, ceea ce permite un rezultat uniform și adaptat culorii tale naturale. Riscul de sensibilitate post-albire este redus comparativ cu alte metode, deoarece expunerea este precisă și controlată. Smalțul nu este afectat structural de procedură.
Rezultatele albirii depind de culoarea inițială a dinților, de tipul decolorării și de obiceiurile alimentare și de viață ale pacientului. Albirea nu funcționează pe lucrări protetice existente (coroane, fațete, plombe), motiv pentru care medicul evaluează în prealabil situația clinică și îți explică ce rezultate poți aștepta în mod realist. Dacă decolorările sunt prea pronunțate sau inegale, medicul poate recomanda fațete ceramice ca alternativă sau complement.
La Atelierul de Zâmbete, albirea laser poate fi parte dintr-un plan estetic mai amplu, care include igienizare profesională prealabilă, fațete ceramice sau alte tratamente coordonate de aceeași echipă. Recomandăm întotdeauna o igienizare profesională înainte de albire, pentru ca gelul să acționeze direct pe suprafața curată a dintelui și rezultatul să fie optim.
Protocolul diferă în funcție de tratamentul ales, dar principiile rămân aceleași: evaluare completă, planificare atentă și comunicare transparentă la fiecare pas.
Fațete ceramice: 5 pași
1. Consultație și evaluare
Medicul examinează starea dinților, verifică dacă există afecțiuni care trebuie tratate mai întâi și discută cu tine despre obiectivele estetice. Se realizează radiografia digitală în cabinet și amprente digitale scanate. Fotografiem situația inițială ca reper before.
2. Planificare digitală și deviz
Pe baza amprentelor scanate, medicul și tehnicianul proiectează digital forma și volumul viitorilor dinți. Primești un deviz estimativ detaliat, cu explicații clare pentru fiecare poziție. Prețul de pe deviz devine angajamentul nostru, fără surprize pe parcurs. Nu începem nicio procedură până nu înțelegi fiecare etapă și ești de acord cu planul propus.
3. Pregătirea dinților și fațete provizorii
Dacă fațetele alese necesită șlefuire, medicul pregătește suprafața dinților printr-o îndepărtare minimă de smalț (de obicei 0,3-0,6 mm). Se realizează o nouă scanare digitală și se aplică fațete provizorii pe care le porți până la finalizarea celor definitive.
4. Aplicarea fațetelor definitive
Fațetele ceramice finalizate în laborator sunt probate pe dinți pentru a verifica culoarea, forma și adaptarea marginală. După validarea completă, fațetele sunt cimentate definitiv. Procedura de aplicare durează de obicei 2-4 ore, în funcție de numărul de fațete.
5. Control și mentenanță
La câteva zile după aplicare, medicul verifică adaptarea fațetelor în mușcătură și îndepărtează eventualele resturi de adeziv. Fotografiem rezultatul final. Controalele anuale sunt importante pentru a reajusta fațetele în mușcătură, deoarece dinții se mișcă natural pe parcursul vieții.
Albire laser: 3 pași
1. Igienizare și evaluare
Recomandăm o igienizare profesională înainte de albire, pentru ca gelul să acționeze pe o suprafață curată. Medicul evaluează culoarea actuală a dinților, verifică dacă există lucrări protetice care nu vor răspunde la albire și îți explică ce rezultate poți aștepta.
2. Ședința de albire
Gingiile sunt protejate cu o barieră specială, se aplică gelul de albire pe dinți și se activează cu diodă. Ședința durează aproximativ 45-60 de minute, cu rezultate vizibile imediat. Medicul controlează intensitatea și durata expunerii pentru fiecare zonă.
3. Indicații post-albire
După procedură, primești indicații clare despre alimentele și băuturile de evitat în primele 48 de ore pentru a menține rezultatul. Medicul îți va recomanda un plan de întreținere, inclusiv frecvența optimă pentru ședințele viitoare de albire, dacă este cazul.
#de ce noi

Estetica dentară este un domeniu în care rezultatul depinde la fel de mult de planificare și de viziune ca și de execuție. Un zâmbet care arată natural și armonios necesită mai mult decât aplicația tehnică a fațetelor sau a gelului de albire. Necesită o înțelegere a proporțiilor, a relației dintre dinți și gingii, a mușcăturii și a modului în care zâmbetul se integrează în ansamblu.
La Atelierul de Zâmbete, estetica dentară este planificată interdisciplinar. Aceasta înseamnă că înainte de a aplica fațete, medicii verifică dacă mușcătura este stabilă, dacă gingiile sunt sănătoase și dacă există probleme care ar putea compromite rezultatul estetic pe termen lung. Dacă este cazul, se recomandă mai întâi un tratament parodontal, o aliniere ortodontică sau un tratament endodontic, și abia apoi se trece la estetică. Această abordare protejează investiția ta și asigură un rezultat care durează.
Nu recomandăm niciodată fațete pe dinți care au probleme nerezolvate, indiferent cât de mult își dorește pacientul un rezultat rapid. Preferăm să amânăm intervențiile de estetică dentară cu câteva săptămâni decât să compromitem un rezultat care ar fi trebuit să dureze ani de zile.
Lucrăm cu amprente digitale scanate pentru proiectarea fațetelor, ceea ce elimină disconfortul amprentării clasice și crește precizia potrivirii. Albirea o realizăm cu diodă, cu control precis al intensității și duratei. Toate tratamentele sunt discutate deschis, cu explicații clare despre ce este posibil și ce nu, despre limitele fiecărei proceduri și despre întreținerea necesară. Prețul de pe deviz devine angajamentul nostru.
Din 2008, tratăm familii întregi în Sector 3, București. Mulți dintre pacienții noștri ne-au acordat încrederea lor de peste 15 ani, iar această relație de lungă durată ne permite să planificăm intervențiile dentare estetice în contextul complet al sănătății orale a fiecărei persoane, nu ca o procedură izolată, ci ca parte dintr-un plan coerent pe termen lung.
Dacă ești în Sector 3, București sau din apropierea zonelor Vitan, Dristor, Titan și Baba Novac și îți dorești un zâmbet mai frumos, te invităm la o consultație la Atelierul de Zâmbete. Evaluăm situația ta, îți arătăm ce opțiuni ai și îți propunem un plan de tratament clar, personalizat și realist.

servicii

"Experiență excelentă la dentist! Echipa e super atentă, iar tratamentul a fost fără durere.”



"Experiență excelentă la dentist! Echipa e super atentă, iar tratamentul a fost fără durere.”



.jpg)
Nu amâna îngrijirea zâmbetului tău. Programează-te astăzi și descoperă tratamente moderne, planificate împreună cu tine, pentru un rezultat nou, natural și de durată.
Sună-ne la
+40 755 242 121